Lesser Trochanter Avulsion Fracture Radiology : Arthroscopic treatment for a chronic isolated avulsion ... : The position of the lesser trochanter close to the head of the femur is one of the defining characteristics of the prozostrodontia.

Lesser Trochanter Avulsion Fracture Radiology : Arthroscopic treatment for a chronic isolated avulsion ... : The position of the lesser trochanter close to the head of the femur is one of the defining characteristics of the prozostrodontia.. Avulsion fractures of the lesser trochanter, greater trochanter, and iliac crest are less common.5 although not as common as other avulsions in the pelvis, lesser trochanter avulsion causes considerable pain and decreased function. The position of the lesser trochanter close to the head of the femur is one of the defining characteristics of the prozostrodontia. This new sporting activity involves kicking. In an older patient, rule out pathological metastatic fracture. Avulsion fracture of left lesser trochanter at the insertion of the iliopsoas tendon.

The lesser trochanter of the femur is a conical eminence, which varies in size in different species. Twelve weeks after the injury the patient resumed his normal sport activities. Isolated fractures of the lesser trochanter are. Avulsion fractures of the lesser trochanter in adolescents are uncommon. A recent case series (of only five patients) showed that the mean age of patient that presented with this injury.

Avulsion fractures
Avulsion fractures from image.slidesharecdn.com
They are a result of a sudden and forceful contraction of the iliopsoas muscle. This new sporting activity involves kicking. This can occur at the ligament by the application of forces external to the body (such as a fall or pull). Avulsion fractures of the lesser trochanter, greater trochanter, and iliac crest are less common.5 although not as common as other avulsions in the pelvis, lesser trochanter avulsion causes considerable pain and decreased function. Ap (a, c) and oblique (b,d) radiographs of the right ankle demonstrate a prominent well corticated (black arrows) ossicle (white arrows) adjacent to the distal fibular tip consistent with a remote avulsion. Isolated fractures of the lesser trochanter are. We report the case of a skeletally immature freestyle footballer who presented with avulsion fracture of the lesser trochanter. Isolated lesser trochanter fractures are a rare presentation of hip fractures in elderly adults.

Isolated fractures of the lesser trochanter are.

This can occur at the ligament by the application of forces external to the body (such as a fall or pull). Avulsion fractures result when the fracture fragment is pulled from its parent bone by forceful contraction of a tendon or ligament. Chronic avulsion fracture of the anterior inferior iliac spine, origin of the straight head of the rectus femoris muscle. An unusual cause of hip pain in an adolescent.}, author={e. This new sporting activity involves kicking. Patients with unstable trochanteric fractures and displaced lesser trochanter who received intramedullary fixation were retrospectively reviewed in this study. Lesser trochanter avulsions are almost always the result of an underlying pathologic lesion. Implant failure occurs within the first three months. Young}, journal={cjem}, year={2013}, volume={15 2}, pages={. Avulsion fractures of the lesser trochanter are rare. Avulsion fractures of the lesser tuberosity are unusual injuries that should be suspected in an adolescent athlete who presents with chronic pain and focal anterior tenderness. Ap (a, c) and oblique (b,d) radiographs of the right ankle demonstrate a prominent well corticated (black arrows) ossicle (white arrows) adjacent to the distal fibular tip consistent with a remote avulsion. Isolated fractures of the lesser trochanter are reported to be pathognomic for tumor diseases in adults.

Pubic symphysis, greater and lesser trochanters, inferior pubic ramus, and iliac crest (figs. Nonoperative treatment demonstrated good clinical course. This new sporting activity involves kicking. Isolated fractures of the lesser trochanter are. Patients with unstable trochanteric fractures and displaced lesser trochanter who received intramedullary fixation were retrospectively reviewed in this study.

Apophyseal Injuries - Femoral Head - GUWS Medical
Apophyseal Injuries - Femoral Head - GUWS Medical from www.guwsmedical.info
Ap (a, c) and oblique (b,d) radiographs of the right ankle demonstrate a prominent well corticated (black arrows) ossicle (white arrows) adjacent to the distal fibular tip consistent with a remote avulsion. Avulsion fractures result when the fracture fragment is pulled from its parent bone by forceful contraction of a tendon or ligament. This can occur at the ligament by the application of forces external to the body (such as a fall or pull). Mri not only reveals the size and location of the avulsed lesser tuberosity. Avulsion in adolescence is probably due to avulsion of the iliopsoas tendon. Pelvic, pelvis, avulsion, fracture, athlete, hurdler, sprinter, runner, radiology. Nonoperative treatment demonstrated good clinical course. Isolated fracture of the greater and lesser trochanter.

By itself, this avulsion is of no importance, but it sometimes.

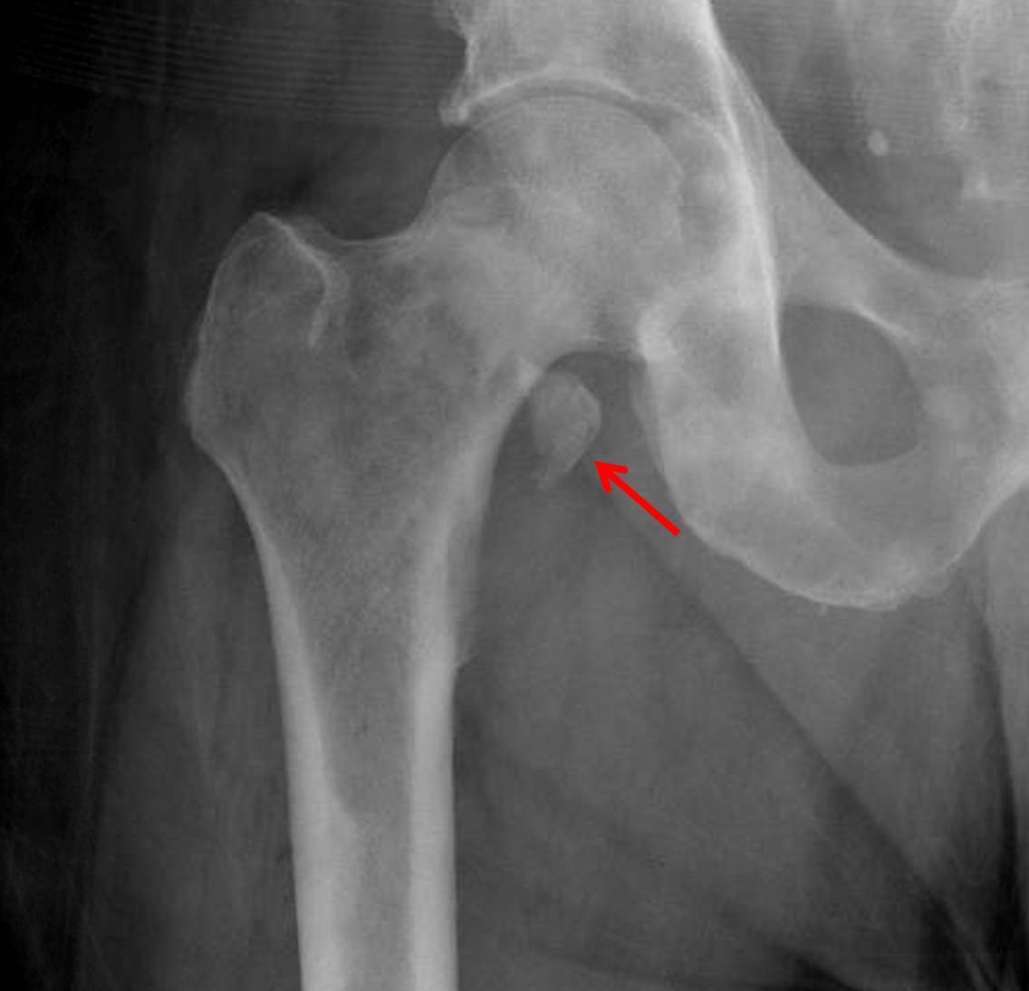
Avulsion fractures on this region are generally secondary to strenuous physical activities 1. Isolated fractures of the lesser trochanter are rare in adults and usually represent the initial manifestation of skeletal metastatic disease (figure 5). Avulsion in adolescence is probably due to avulsion of the iliopsoas tendon. They are generally caused by a sudden and forceful contraction of the iliopsoas muscle. There is fluid and hematoma around the iliopsoas tendon. Isolated fractures of the lesser trochanter are reported to be pathognomic for tumor diseases in adults. By itself, this avulsion is of no importance, but it sometimes. This injury is a result of a sudden forceful contraction of the iliopsoas tendon. They are a result of a sudden and forceful contraction of the iliopsoas muscle. Isolated lesser trochanter fractures are a rare presentation of hip fractures in elderly adults. Ap (a, c) and oblique (b,d) radiographs of the right ankle demonstrate a prominent well corticated (black arrows) ossicle (white arrows) adjacent to the distal fibular tip consistent with a remote avulsion. A recent case series (of only five patients) showed that the mean age of patient that presented with this injury. Avulsion of the lesser trochanter.

Avulsion fractures of the lesser tuberosity are unusual injuries that should be suspected in an adolescent athlete who presents with chronic pain and focal anterior tenderness. Avulsion in adolescence is probably due to avulsion of the iliopsoas tendon. Mri images axial coronal and sagittal images demonstrate avulsion fracture by approximately 2.5 cm to 3 cm. Ap (a, c) and oblique (b,d) radiographs of the right ankle demonstrate a prominent well corticated (black arrows) ossicle (white arrows) adjacent to the distal fibular tip consistent with a remote avulsion. This injury is a result of a sudden forceful contraction of the iliopsoas tendon.

Imaging Features of Avulsion Injuries | RadioGraphics
Imaging Features of Avulsion Injuries | RadioGraphics from pubs.rsna.org
Avulsion fractures of the lesser trochanter in adolescents are uncommon. Lesser trochanter avulsions are almost always the result of an underlying pathologic lesion. Avulsion fractures of the lesser trochanter in adolescents are rare. Twelve weeks after the injury the patient resumed his normal sport activities. A positive ludloff sign—the inability to raise the thigh when in a sitting position— is seen with injuries involving the iliopsoas muscle. The lesser trochanter is a growth region type apophysis, where is attached the illiopsoas muscle. There is little literature to guide their treatment. Chronic avulsion fracture of the anterior inferior iliac spine, origin of the straight head of the rectus femoris muscle.

The patient had precursor symptom before onset during a ball juggling.

They are a result of a sudden and forceful contraction of the iliopsoas muscle. An isolated fracture of the lesser trochanter is rare and may occur as an avulsion fracture of the iliopsoas muscle at a young age. @article{vazquez2013avulsionfo, title={avulsion fracture of the lesser trochanter: Implant failure occurs within the first three months. Pelvic, pelvis, avulsion, fracture, athlete, hurdler, sprinter, runner, radiology. Therefore we aimed to report these in the present study. Twelve weeks after the injury the patient resumed his normal sport activities. The lesser trochanter is a growth region type apophysis, where is attached the illiopsoas muscle. Lesser trochanter avulsion, apophysis, groin pain. There is little literature to guide their treatment. The patient we report presented with pain and limited hip flexion. The position of the lesser trochanter close to the head of the femur is one of the defining characteristics of the prozostrodontia. There is fluid and hematoma around the iliopsoas tendon.

Chronic avulsion fracture of the anterior inferior iliac spine, origin of the straight head of the rectus femoris muscle lesser trochanter fracture. Lesser trochanter avulsion fracture � pathologic.

Comments